
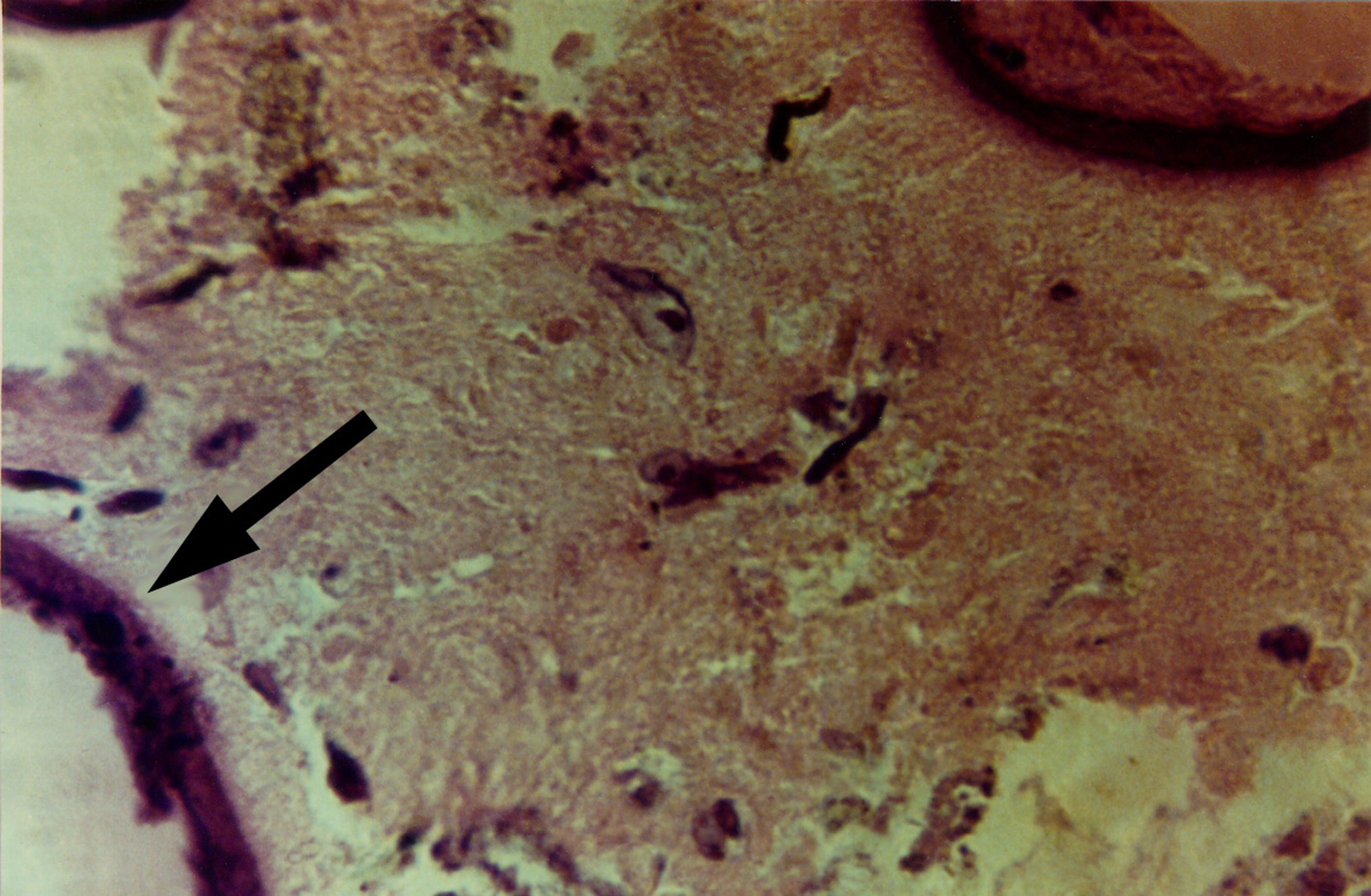
High magnification view of human primary breast tumor cells after 56 days of culture in a NASA Bioreactor. The arrow points to bead surface indicating breast cancer cells (as noted by the staining of tumor cell intermediate filaments). NASA's Marshall Space Flight Center (MSFC) is sponsoring research with Bioreactors, rotating wall vessels designed to grow tissue samples in space, to understand how breast cancer works. This ground-based work studies the growth and assembly of human mammary epithelial cell (HMEC) from breast cancer susceptible tissue. Radiation can make the cells cancerous, thus allowing better comparisons of healthy vs. tunorous tissue. Credit: Dr. Jearne Becker, University of South Florida
Most NASA images are in the public domain and free to use. Credit NASA as the source. Check NASA's media usage guidelines for details. Images featuring identifiable individuals may require additional permissions.
NASA ID
0004391
Date Created
October 10, 1998
Center
MSFC
Media Type
image
Download this image in multiple resolutions. All NASA media are free for public use.
1920px